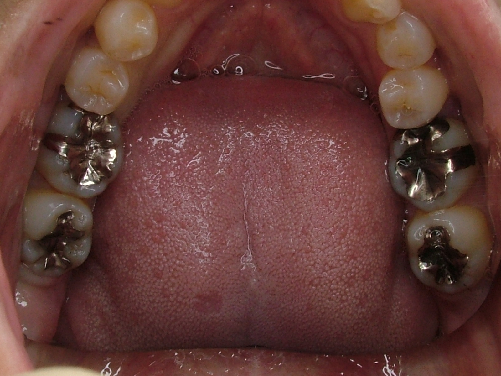
今までは銀歯がいっぱい入っていた20代女性のお口の中です。
口をあけると銀歯が見えてしまい、ずっと気になっていたそうです。
今回白くてキレイなセラミックにかえました!
患者さまも大喜びでした。
そしてキレイなものを入れたおかげかはわかりませんが、ホワイトニングにも興味を持たれ、今まで以上に歯への関心が高くなられたそうです!
白くてキレイな歯は憧れますよね?
皆様のお口の中はいかがですか?一度鏡でご覧になってみてください!
今までは銀歯がいっぱい入っていた20代女性のお口の中です。
口をあけると銀歯が見えてしまい、ずっと気になっていたそうです。
今回白くてキレイなセラミックにかえました!
患者さまも大喜びでした。
そしてキレイなものを入れたおかげかはわかりませんが、ホワイトニングにも興味を持たれ、今まで以上に歯への関心が高くなられたそうです!
白くてキレイな歯は憧れますよね?
皆様のお口の中はいかがですか?一度鏡でご覧になってみてください!
痛くないやさしい品川の歯医者|品川シーサイド歯科 品川シーサイド駅 すぐ
日付: 2010年3月31日 カテゴリ:未分類