TOPへ戻る

お知らせ

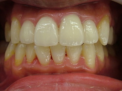
ホワイトニング!

Bmk.jpgどうも、井上です。

みなさん、白い歯になりませんか?

美人や美男の秘訣は、髪、肌、歯と言われているのをご存知ですか?

当院ではホワイトニングも力を入れて行っています。ぜひお気軽にご相談ください。

C.JPG
D.JPG

痛くないやさしい品川の歯医者|品川シーサイド歯科 品川シーサイド駅 すぐ

日付:   カテゴリ:未分類